|

Pneumocystis carinii pneumonia - chest radiograph
Preview
|

Pneumocystis carinii pneumonia - lung biopsy
Preview
|

Lymphoid interstitial pneumonitis/pulmonary lymphoid hyperplasia (LIP/PLH) - chest radiograph
Preview
|

LIP/PLH - lung biopsy
Preview
|
|

LIP/PLH - lung biopsy
Preview
|

LIP/PLH - digital clubbing
Preview
|

LIP/PLH - parotid gland enlargement
Preview
|

Granulocytopenia and Staphylococcus aureus
Preview
|
|

Suppurative parotitis
Preview
|

Severe encephalopathy
Preview
|

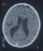
Generalized brain atrophy - computed tomography (CT) scan
Preview
|

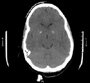
Bilateral calcifications of the basal ganglia - CT scan
Preview
|
|

Cardiomegaly - chest radiograph
Preview
|

Severe HIV wasting
Preview
|

Abdominal lymphoma
Preview
|

Scabies
Preview
|
|

Norwegian (crusted) scabies
Preview
|

Severe tinea corporis
Preview
|

Herpes simplex virus
Preview
|

Herpes zoster (shingles)
Preview
|
|

Cytomegalovirus retinitis - fundoscopic examination
Preview
|

Human papillomavirus
Preview
|

Molluscum contagiosum
Preview
|

Pseudomembranous candidiasis
Preview
|
|

Erythematous (atrophic) candidiasis
Preview
|

Oral hairy leukoplakia
Preview
|

Non-nucleoside reverse transcriptase inhibitor associated rash
Preview
|

Cutaneous cryptococcus neoformans infection
Preview
|
|

Tuberculous lymphadenitis (scrofula)
Preview
|

Antiretroviral associated lipodystrophy syndrome
Preview
|

Kaposi's sarcoma lesion
Preview
|

Cryptococcal Meningitis
Preview
|
|

Oral candidiasis and herpes simplex
Preview
|

Progressive multifocal leukoencephalopathy
Preview
|

Cutaneous
candidiasis
Preview
|

Acanthamoeba infection
Preview
|